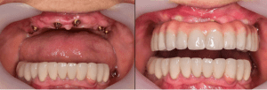
Losing a tooth is stressful enough but discovering that you also have jawbone loss can feel incredibly discouraging. Many of our patients at Smile Art come to us feeling worried that their bone loss has permanently disqualified them from getting a permanent, natural-looking smile.
If you are dealing with this exact concern, we want to validate those worries, it is completely normal to feel overwhelmed by dental complications. However, we also want to give you the honest, factual reality: Yes, you can absolutely get dental implants even if you have bone loss. Here is everything you need to know about how the team at Smile Art restores both your jaw's foundation and your confident smile.

To understand the solution, it helps to understand the problem. Just like muscles atrophy when they aren't used, your jawbone begins to deteriorate when a tooth is missing.
The roots of your natural teeth stimulate the jawbone every time you chew. When a tooth is extracted or falls out, that stimulation stops. Over time, the body assumes the bone in that area is no longer needed and begins to resorb (reabsorb) it. Gum disease (periodontitis) or severe trauma can also rapidly accelerate this bone loss.
Important Note: Because dental implants act as artificial tooth roots, they prevent further bone loss once placed. The challenge simply lies in making sure there is enough bone density to hold the implant securely in the first place.
If an assessment reveals that your jawbone is currently too thin or soft to support an implant, it just means we need to do a little prep work before placing the new tooth. Modern dentistry offers highly successful techniques to rebuild your foundation:
Because treating bone loss requires extra precision, expertise, and advanced imaging, choosing the right clinic is crucial. It’s not just about placing a titanium post; it’s about architecting a foundation that will last you a lifetime.
If you are searching for reliable tooth implants in London, Smile Art specializes in advanced restorative dentistry. We don't believe in one-size-fits-all solutions. We use state-of-the-art 3D CBCT scanners to map your jawbone down to the millimetre, ensuring we approach your unique bone structure with absolute candour, safety, and predictability.
We will walk you through exactly what your timeline looks like. If you need a graft, the process will take a bit longer—but the lifelong results are well worth the patience.

Don't let the fear of bone loss stop you from exploring your options. Dentistry has evolved immensely, and a missing tooth doesn't have to dictate your confidence or your diet. If you've been told in the past that you don't have enough bone for an implant, it is entirely possible that modern techniques can still rebuild your smile.
To find out exactly what is possible for your unique jawbone structure, book a comprehensive consultation with our expert team. Visit Smile Art Dental to schedule your assessment today.
Losing a tooth does not just affect your appearance, but may have a significant impact on your oral health. Leaving the space empty, however, will definitely affect your jawbone’s health.
Fortunately, tooth implants are here to offer a solution that not only restores your radiant smile but also helps maintain the health of your jawbone and oral health in general.
There is an interesting connection between tooth implants and bone health, and below, we will be highlighting the benefits of having an implant.
A vital feature of dental implants is their capacity to maintain the density of the jawbone. Due to a lack of stimulation, the jawbone that supports a lost tooth may eventually begin to degrade. On the other hand, dental implants function as substitute tooth roots, giving the jawbone the required stimulation and assisting in preserving its strength and density.
The natural process of the body reabsorbing bone tissue that is no longer required is known as "bone resorption." Resorption of the jawbone can occur when teeth are lost, giving the face a sunken appearance. By stabilising the jawbone, lowering the likelihood of bone resorption, and maintaining facial shape, tooth implants assist stop this process.

You may be surprised to learn that implants are essential for promoting bone formation. This is because implant placement requires the insertion of a titanium post into the mandible. Through a process known as osseointegration, this post gradually merges with the surrounding bone tissue. This melding strengthens the jawbone even more by encouraging the surrounding bone to grow and adjust, besides giving the implant stability.
Tooth loss can also have a cascading effect on the surrounding teeth. When a tooth is lost, the adjacent teeth can start to shift or tilt into the empty space, leading to alignment issues and potential bite problems. Tooth implants help prevent this by filling the gap and providing support to the adjacent teeth, thereby maintaining proper alignment and bite function.
Tooth implants enhance general oral health by maintaining the health of the jawbone, reducing bone resorption, and stabilising surrounding teeth. Ensuring long-term oral health and lowering the risk of more tooth loss are made possible by a robust jawbone supporting the existing teeth. Since dental implants provide a holistic solution to tooth loss that goes beyond simply restoring your smile, you shouldn't be alarmed by the significant influence they have on bone health.
At Smile Art Dental, we recognise just how important it is to preserve your general dental health as well as your smile. Our team is committed to giving you tailored therapy and modern alternatives, including dental implants, so you may have perfect oral health and a stunning, self-assured smile. Take advantage of the many benefits of dental implants for your bone structure, and allow Smile Art Dental to work with you to maintain and improve your oral health in general.
In the realm of modern dentistry, the quest for a complete and confident smile often extends beyond mere aesthetics. It encompasses a broader vision of enhancing one's quality of life. For those grappling with tooth loss, the advent of tooth implants has been nothing short of revolutionary, offering a permanent solution that goes beyond cosmetic restoration. In this exploration, we'll delve into the transformative impact of tooth implants on daily living, unravelling how these remarkable innovations not only restore smiles but also elevate the overall well-being of individuals.
Tooth loss can profoundly impact daily life, from simple tasks like eating and speaking to the more complex aspects of self-esteem and confidence. Tooth implants in North London provide a solid foundation that mimics the natural tooth root, offering stability and functionality that surpass traditional dentures. This stability allows individuals to enjoy their favourite foods without restrictions, thereby enhancing their overall quality of life.
The repercussions of tooth loss extend beyond physical discomfort; they can also affect an individual's social interactions and confidence. Tooth implants provide a secure base for replacement teeth, eliminating worries about slipping or shifting, and restoring the ability to speak and smile with confidence. This newfound confidence can positively impact social interactions, relationships, and overall mental well-being.
Beyond the visible effects, tooth loss can lead to deterioration of the jawbone over time. Tooth implants in North London offer a unique advantage by stimulating the jawbone, preventing bone loss, and preserving facial contours. This preservation of bone structure not only maintains oral health but also contributes to a more youthful appearance, thus enhancing the overall quality of life for individuals.
While the initial process of getting tooth implants requires time and commitment, the long-term benefits far outweigh the initial investment. Unlike traditional dentures, which may need frequent adjustments and replacements, tooth implants are a permanent solution that can last a lifetime with proper care. This longevity makes them a valuable investment in one's well-being, providing lasting benefits for daily living.
As we navigate the impact of tooth implants on daily living, it's essential to recognize the transformative nature of this dental innovation. Beyond the restoration of smiles, tooth implants in North London embody a commitment to enhancing the overall quality of life for individuals. Whether it's enjoying a meal with friends, engaging in confident conversations, or simply smiling without reservation, tooth implants pave the way for a future filled with possibilities.
In our quest to explore the transformative impact of tooth implants on daily living, it's important to acknowledge the role of dental professionals like those at Smile Art Dental in London. Their expertise and dedication to patient care embody a commitment to enhancing lives through comprehensive dental solutions. As you reflect on the profound impact of tooth implants, consider the partnership with Smile Art Dental as a testament to their unwavering commitment to your well-being, both today and in the years to come.